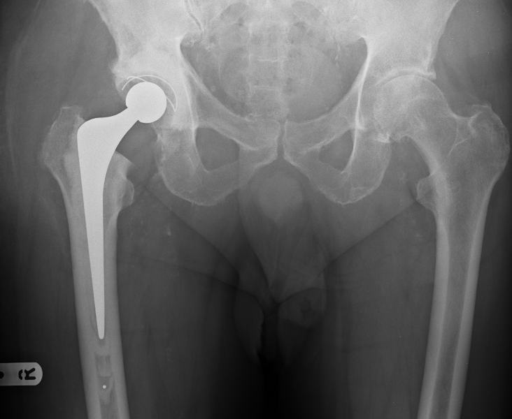
The spiky part in the marrow of my bone hurts like you would think. The top I also have mesh and other junk in me. That is what the scorpion twisted out of place.
Published August 19, 2015 in The Scorpion, Glasses and Osteonecrosis… | Full size is 732 × 600 pixels
